中国科协主办
普通用户
科普员
科普号
管理员
登录
业务中心
管理中心
资源中心
帮助
客服
搜索
首页
头条
地区
安徽省
广西壮族自治区
河南省
吉林省
江西省
山东省
云南省
浙江省
重庆市
山西省
内蒙古自治区
黑龙江省
江苏省
湖北省
湖南省
广东省
海南省
宁夏回族自治区
新疆维吾尔自治区
青海省
热词解读
健康
科学辟谣
前沿科技
应急科普
科教
博物
军事
科幻
人物
专区
天文地理
生活百科
智农
社区
航天航空
双碳
上海市科学技术协会
2067
粉丝
|
3
关注
简介:
全部
文章
视频
音频
搜索
取消
这种碳水,吃对了能“逆转”脂肪肝?
图文
我,斯瓦尔巴,全球种子的“极地守夜人”
图文
喝酒上瘾还伤肝?关键元凶找到了→
图文
女性250分钟=男性530分钟,新研究:男女运动“护心”大不同!
图文
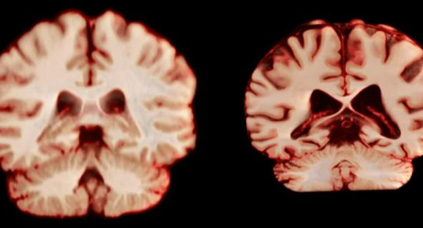
阿尔茨海默病为何“偏爱”女性?
图文
图文
双十一必看:9.9、29.9、99.9的定价,为什么让你忍不住想买买买?
心理学
消费
价格
“双十一”购物心理
2025-11-10 13:50
图文
从“干饭利器”到“颜值担当”,下颌骨的“精致化”之旅
演化
颌骨
咀嚼
颌关节
2025-11-07 08:40
图文
为什么蟒蛇能“结晶”排尿酸,人类却逃不过痛风?
痛风
人体
尿酸
爬行动物
2025-11-03 08:09
图文
你看到的世界,是被大脑后期P过的?
大脑
影像
“靠大脑看世界”
反向视觉
2025-11-02 08:49
图文
《上海宣言》代表全球工程界向世界发出坚定承诺
WFEO
世界工程组织联合会
2025-10-31 15:01
图文
他们照亮了深远的合作与友谊之路——世界工程组织联合会(WFEO)全体大会上的温情瞬间
WFEO
世界工程组织联合会
2025-10-31 14:57
查看更多
暂无数据~
近期热门内容
这种碳水,吃对了能“逆转”脂肪肝?
1043评论
我,斯瓦尔巴,全球种子的“极地守夜人”
973评论
喝酒上瘾还伤肝?关键元凶找到了→
2025-11-27
《上海宣言》代表全球工程界向世界发出坚定承诺
16评论
他们照亮了深远的合作与友谊之路——世界工程组织联合会(WFEO)全体大会上的温情瞬间
11评论
从“干饭利器”到“颜值担当”,下颌骨的“精致化”之旅
2025-11-07
阿尔茨海默病为何“偏爱”女性?
679评论
当东方文明与世界工程师相遇,在这场国际盛会中,国外工程师们还收获了什么……
4评论
你看到的世界,是被大脑后期P过的?
2025-11-02
推荐科普号
换一换
重庆市科学技术协会
科普江苏
北京科协
陕西省科学技术协会
科普湖北
山西省科学技术协会
宁夏回族自治区科学技术协会
河南省科学技术协会
黑龙江省科学技术协会
河北省科学技术协会
福建省科学技术协会
科普湖南
天津科学技术馆
安徽省科学技术协会
大众科普
山东省科学技术协会
新疆维吾尔自治区科学技术协会
科普海南
科普吉林
上海市科学技术协会
甘肃省科学技术协会
广东省科学技术协会
宁夏科协
黑龙江省科协
浙江省科学技术协会
科普安徽
云南省科协
科普江西
草原科普小蜜蜂
湖北省科学技术协会
活动
暂未发布活动~
科普教育基地-资源
查看更多
中国科学家用折纸拯救卫星?还登上了国际顶刊?!
卫星
超材料
折纸
热膨胀超材料
上海科技馆
1小时前
天天刷牙却满口牙病?请停止“自毁式”刷牙!
口腔健康
牙菌斑
巴氏刷牙法
上海科技馆
2025-12-01
没有这种白色晶体,你根本当不上干饭人!
化肥
氮
农耕文明
合成氨
上海科技馆
2025-12-03
丝绸之路上的“非卖品”,竟是西汉贵妇的OOTD
考古
素纱襌衣
超细蚕丝
精练脱胶
上海科技馆
2025-12-02
科普教育基地-活动
查看更多
科学之夜—儿童夜宿科普独立营
已结束
2020-08-27 00:00
科普DIY体验—热吹/冰与火之歌
已结束
2020-08-25 00:00
科普DIY体验—灯工/火焰中的星球
已结束
2020-08-25 00:00
科普DIY体验—热熔/融化的冰激凌
已结束
2020-08-22 00:00
扫码下载APP
扫码下载科普中国APP
开启您的智慧生活
关闭
关于我们
联系我们
招贤纳士
法律声明
网站地图
京公网安备11010202008423号
京ICP备16016202号