中国科协主办
普通用户
科普员
科普号
管理员
登录
业务中心
管理中心
资源中心
帮助
客服
搜索
首页
头条
地区
安徽省
广西壮族自治区
河南省
吉林省
江西省
山东省
云南省
浙江省
重庆市
山西省
内蒙古自治区
黑龙江省
江苏省
湖北省
湖南省
广东省
海南省
宁夏回族自治区
新疆维吾尔自治区
青海省
热词解读
健康
科学辟谣
前沿科技
应急科普
科教
博物
军事
科幻
人物
专区
天文地理
生活百科
智农
社区
航天航空
双碳
中华医学会
3.62 万
粉丝
|
1
关注
简介:
传播普及健康知识,提高公众健康素养
全部
高端访谈
学科节目
疾病防治
智慧医疗
健康素养
中医中药
精神心理卫生
公共卫生与预防医学
搜索
图文
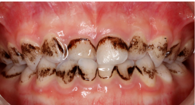
儿童牙齿发黑?除了蛀牙,这些原因也得警惕
简介
孩子牙齿上出现小黑点、黑线,很多家长第一反应就是“长蛀牙了”。但实际上,牙齿发黑的原因可不止龋齿一种。
2025-12-05 10:59
龋齿
氟斑牙
牙齿发黑
图文
儿童发热莫慌张,科学应对护健康
日常护理
儿童发热
退热药物
2025-12-05 09:53
图文
妈妈的手腕总是疼?当心“妈妈手”!
预防
腱鞘炎
妈妈手
2025-12-05 09:50
视频
近视手术——让清晰“视”界触手可及
近视手术
角膜形态
人工晶体
2025-12-04 16:15
图文
“孕”动有方,这样运动让妈妈和宝宝都受益!
凯格尔运动
安全指南
孕期运动
2025-12-04 11:15
图文
小呛咳,大隐患!你真的“会”给老人喂饭吗?
误吸
吞咽功能障碍
正确喂饭方法
2025-12-04 11:11
图文
五官出问题,也可能是风湿免疫病在“报警”
系统性疾病
风湿免疫病
五官症状
2025-12-04 11:08
图文
无声的流行病——骨质疏松
预防
骨折
骨质疏松
2025-12-04 11:04
视频
心血管事件链为何“潜伏着杀机”?
心力衰竭
心血管事件链
靶器官损害
2025-12-04 10:22
视频
心血管疾病通常有哪些症状和危害
心血管疾病
胸痛
心力衰竭
2025-12-04 10:20
视频
心绞痛如何治疗
心绞痛
药物治疗
血运重建
2025-12-04 10:19
查看更多
近期热门内容
图文
手麻不是小事!警惕身体发出的健康信号
手麻
神经系统
诊断
健康信号
2025-11-24 09:02:35
图文
“胰”路畅行,养出新生——胰腺癌术后饮食指导
胰腺癌
指导
术后饮食
2025-11-28 09:41:38
图文
“医”笔“医”画,带您了解甲状腺懒癌主动监测
甲状腺微小乳头状癌
2025-11-25 10:41:26
图文
肥胖的“心衰”患者能打“减重针”吗?
肥胖
心力衰竭
减重针
2025-11-28 09:29:59
视频
血管腔内系列创新器材的研发与国内外推广应用
中国智造
血管病变
主动脉支架
2025-11-26 17:56:58
图文
急性中毒早知道 急救措施要记牢
急性中毒
急救措施
早知道
2025-11-28 09:25:13
图文
走近儿童“性早熟”
性早熟
儿童发育
GnRHa治疗
2025-11-28 09:21:47
图文
卵巢囊肿为何“忽有忽无”?医生:多半是它在“捣鬼”!
超声检查
卵巢囊肿
功能性囊肿
2025-11-28 09:14:17
推荐科普号
换一换
科普中国
科学辟谣
重庆市科学技术协会
蝌蚪五线谱
上海科技馆
科普中国科学视界
科技热点追踪
网易健康
康迅网
湖南医聊
科技启示录
北京科学中心
果壳自然
福建省泉州市科学技术协会
科学报国正当时
北京科技报
科普江苏
中华医学会
科普中国-科普话强国
华西医生
北京科协
四川科技馆
张天缘的科普号
陕西省科学技术协会
科普医卫康
时空通讯
BRTV科普中国直击最前沿
中国城市规划学会
科普湖北
《中国科学》杂志社
科普教育基地-资源
查看更多
我国研学科普浅析
科学素养
科普研学
实践教育
热科-热作资源
2小时前
退而不休献余热 银龄专家传技忙
乡村振兴
胡椒技术
银龄专家
热科-热作资源
3小时前
银龄专家初心不改 ,一线深耕暖热土
种业创新
银龄专家
芒果产业
热科-热作资源
3小时前
植物与科学家之《鼎湖钓樟》
科学家
植物
鼎湖钓樟
广东鼎湖山国家级自然保护区
2025-12-04
科普教育基地-活动
查看更多
文明互鉴的见证——中国景泰蓝艺术交流展
进行中
2025-11-06 00:00
第十四届广东省创意机器人大赛
未开始
2025-12-06 15:00
镜子世界,探索视觉的边界
已结束
2025-11-30 14:00
《燕赵学堂》——聚焦新物质创造 分享化学前沿科普
已结束
2025-11-28 15:45
扫码下载APP
扫码下载科普中国APP
开启您的智慧生活
关闭
关于我们
联系我们
招贤纳士
法律声明
网站地图
京公网安备11010202008423号
京ICP备16016202号